Rentgen zęba Łódź – RTG punktowe, zdjęcie panoramiczne (OPG) i tomografia CBCT 3D
Szukasz badania rentgen zęba Łódź z szybkim terminem i wynikiem od ręki? W Pro Endodentica wykonujemy
RTG punktowe zębów, zdjęcie panoramiczne (OPG, pantomogram) oraz tomografię CBCT 3D
w jednym miejscu – w Łodzi, przy ul. Rąbieńskiej 129.
RTG 40 zł • OPG 100 zł • CBCT od 180 zł | Wynik od ręki • Rejestracja online • Pliki DICOM + viewer.
Cennik – rentgen zęba, OPG i CBCT 3D w Łodzi
Aktualny na 15.10.2025. Pełne szczegóły znajdziesz w cenniku online.
| Badanie | Zakres | Czas | Cena |
|---|---|---|---|
| RTG zęba (punktowe) | pojedynczy ząb lub kilka projekcji | ok. 5–10 min | 40 zł |
| OPG – zdjęcie panoramiczne (pantomogram) | oba łuki zębowe + stawy skroniowo-żuchwowe | ok. 5–7 min | 100 zł |
| CBCT 3D – małe pole (np. 5×5 / 8×5) | endodoncja / pojedynczy rejon | ok. 10–15 min | od 180 zł |
| CBCT 3D – średnie pole (np. 8×8 / 12×9) | implantologia / planowanie chirurgiczne | ok. 10–15 min | 270–280 zł |
| CBCT 3D – duże pole (np. 16×9) | zatoki, stawy, pełniejsza diagnostyka | ok. 10–15 min | 300 zł |
Dostępne także: zdjęcie zatok – 100 zł, cefalometria – 100 zł. Pliki DICOM + viewer w cenie badania.
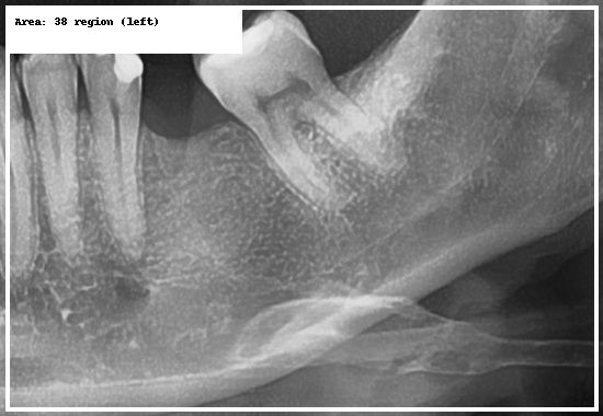
RTG zęba (punktowe) – szybka diagnostyka bólu i próchnicy

RTG punktowe (zębowe) to precyzyjne badanie 1–2 zębów. Sprawdza się w diagnostyce bólu,
wykrywaniu zmian okołowierzchołkowych, próchnicy międzyzębowej oraz w kontroli
leczenia kanałowego pod mikroskopem.
Jeśli boli konkretny ząb i szukasz miejsca na rentgen zęba Łódź, zwykle zaczynamy właśnie od RTG punktowego.
- Czas badania: ok. 5–10 minut, wynik od ręki.
- Przygotowanie: bez szczególnych wymagań; przed badaniem usuń biżuterię w okolicy głowy i szyi.
- Wynik: wydruk lub plik, na życzenie format DICOM.
- Cena: 40 zł.
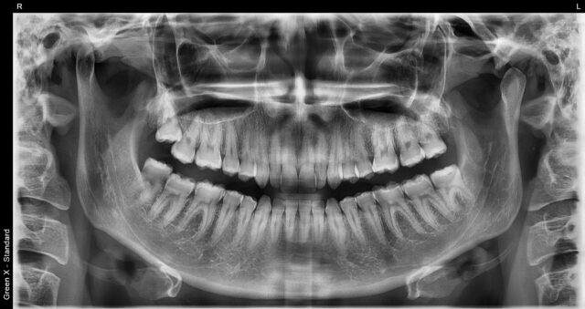
Zdjęcie panoramiczne zębów (OPG, pantomogram) – przegląd całej jamy ustnej

OPG, czyli zdjęcie panoramiczne zębów, pokazuje oba łuki zębowe, stawy skroniowo-żuchwowe oraz zawiązki zębów.
To podstawowe badanie przeglądowe, wykorzystywane w chirurgii (np. przed
usuwaniem ósemek),
ortodoncji, protetyce oraz periodontologii. Jeśli stomatolog zlecił Ci pantomogram, możesz wykonać
rentgen zęba Łódź w formie OPG właśnie u nas.
Więcej o przebiegu badania przeczytasz także tutaj:
pantomogram Łódź – jak wygląda badanie krok po kroku.
- Czas badania: ok. 5–7 minut, wynik od ręki.
- Przygotowanie: standardowe; poinformuj personel o ciąży (jeśli dotyczy).
- Wynik: wydruk, PDF oraz na życzenie pliki DICOM.
- Cena: 100 zł.
Tomografia CBCT 3D – planowanie implantów, chirurgii i endodoncji

Tomografia CBCT 3D daje przestrzenny obraz struktur z wysoką rozdzielczością przy relatywnie niskiej dawce promieniowania.
Dobieramy pole widzenia do potrzeb: od małych (endodoncja) po duże (zatoki, stawy, planowanie leczenia implantologicznego i chirurgicznego).
Szczegółowy opis badania znajdziesz na stronie
tomografia CBCT Łódź. Jeśli lekarz wspominał o „CBCT zębów”,
u nas wykonasz takie badanie od ręki, razem z innymi formami diagnostyki typu rentgen zęba Łódź.
- Czas badania: ok. 10–15 minut, wynik krótko po eksporcie.
- Warianty pól (przykłady): 5×5, 8×5, 8×8, 12×9, 16×9.
- Wynik: DICOM + viewer (link lub nośnik), możliwość łatwego przekazania lekarzowi prowadzącemu.
- Ceny: małe pole od 180 zł, średnie 270–280 zł, duże 300 zł.
RTG, OPG czy CBCT – jakie badanie wybrać w Łodzi?
Każde badanie służy do czegoś innego. Tabela poniżej pomaga szybko dobrać właściwą diagnostykę,
gdy szukasz rentgen zęba Łódź i nie wiesz, czy wystarczy RTG punktowe, czy lepiej od razu OPG lub CBCT 3D.
| Badanie | Co pokazuje | Kiedy najczęściej | Czas | Wynik | Zalety | Ograniczenia |
|---|---|---|---|---|---|---|
| RTG punktowe (zębowe) | Szczegółowy obraz 1–2 zębów i okolicznych tkanek. | Ból, próchnica, zmiany okołowierzchołkowe, kontrola endo. | 5–10 min | Zdjęcie + (na życzenie) DICOM | Szybkie, precyzyjne, niska dawka. | Mały zakres – nie pokazuje całej jamy ustnej. |
| OPG (pantomogram) | Panoramiczny widok łuków zębowych, stawów, zawiązków. | Przegląd, ósemki, ortodoncja, protetyka. | 5–7 min | Wydruk/PDF + (na życzenie) DICOM | Szeroki obraz, szybkie planowanie leczenia. | Mniejsza szczegółowość niż RTG punktowe i CBCT. |
| CBCT 3D (tomografia) | Rekonstrukcja 3D w wybranym polu. | Implanty, chirurgia, złożona endodoncja, zatoki, stawy. | 10–15 min | DICOM + viewer. | Najwięcej informacji, precyzyjne planowanie zabiegu. | Wyższa dawka niż RTG/OPG; dobór pola i wskazań przez lekarza. |
RTG, OPG, CBCT – różnice w kosztach i czasie badania

Czas obejmuje ekspozycję i krótkie przygotowanie do badania. Jeśli rejestrujesz się na rentgen zęba Łódź,
na miejscu pomożemy dobrać najlepszy wariant RTG, OPG lub CBCT w oparciu o skierowanie i wskazania.
Ceny poniżej wynikają z cennika „Diagnostyka 3D”.
| Badanie | Standardowy zakres | Szacowany czas | Cena |
|---|---|---|---|
| RTG zęba (punktowe) | 1–2 zęby, diagnostyka bólu lub kontroli endo | 5–10 min • wynik od ręki | 40 zł |
| OPG (pantomogram) | oba łuki zębowe, stawy, zawiązki | 5–7 min • wynik od ręki | 100 zł |
| CBCT 3D – małe pole | endo / pojedynczy rejon (5×5, 8×5) | 10–15 min • DICOM + viewer | od 180 zł |
| CBCT 3D – średnie lub duże pole | 8×8, 12×9, 16×9 (implanty, zatoki, stawy) | 10–15 min • DICOM + viewer | 270–300 zł |
Które badanie wybrać przy bólu zęba, ósemkach lub implantach?
Implanty i planowanie zabiegu
Najczęściej CBCT 3D (średnie lub duże pole) – dokładna ocena ilości i jakości kości, przebiegu nerwów i zatok.
Przed planowaniem implantów łączymy CBCT z badaniem klinicznym i zdjęciem
OPG.
Ósemki i chirurgia
Zaczynamy od OPG, które pokazuje położenie ósemek i relacje korzeni z nerwem. Przy dolnych ósemkach blisko nerwu
często zalecamy dodatkowo CBCT 3D dla precyzyjnego planu zabiegu
usuwania ósemek.
Leczenie kanałowe i ból jednego zęba
Standardem jest RTG zęba (punktowe). W złożonych przypadkach endodontycznych,
przed re-endo lub zabiegami typu
resekcja wierzchołka korzenia,
pomocne jest CBCT małego pola.
Ortodoncja i przegląd jamy ustnej
Podstawą jest OPG jako badanie przeglądowe; w wybranych wskazaniach lekarz może rozszerzyć diagnostykę o
CBCT 3D (np. przy nietypowym położeniu zębów zatrzymanych).
FAQ – najczęstsze pytania o rentgen zęba, OPG i CBCT
Czy potrzebne jest skierowanie na rentgen zębów?
Do większości badań stomatologicznych rentgen zęba Łódź nie jest wymagane skierowanie.
W przypadku CBCT lekarz zwykle je wypisuje, aby jasno określić zakres badania. W razie wątpliwości dopytaj rejestrację.
Ile trwa badanie i kiedy otrzymam wynik?
RTG i OPG to zwykle 5–10 minut, CBCT około 10–15 minut. Wynik otrzymujesz od ręki;
pliki DICOM i viewer udostępniamy w formie linku lub na nośniku, tak aby Twój lekarz mógł je łatwo otworzyć.
Czy badanie rentgenowskie jest bezpieczne?
Korzystamy z nowoczesnego sprzętu cyfrowego i protokołów minimalizujących dawkę promieniowania.
Ciąża jest przeciwwskazaniem względnym – zawsze poinformuj personel przed badaniem.
Dobieramy możliwie najmniejszy zakres i dawkę, która pozwala odpowiedzieć na pytanie diagnostyczne.
W jakim formacie otrzymam pliki i czy mogę je wysłać lekarzowi?
Standardowo otrzymujesz wydruk lub PDF. Dodatkowo udostępniamy pliki DICOM wraz z przeglądarką (viewer).
Możesz przesłać link lub nośnik lekarzowi prowadzącemu albo wgrać pliki do systemu, z którego korzysta gabinet.

Kontakt i rezerwacja – gdzie wykonać rentgen zęba w Łodzi
Pro Endodentica
ul. Rąbieńska 129, 94-244 Łódź (Teofilów)
tel. +48 692 682 670
Jeśli szukasz sprawdzonego miejsca na rentgen zęba Łódź, RTG, OPG lub CBCT – zapraszamy do naszej pracowni diagnostycznej.
Dojazd – jak nas znaleźć?
Pro Endodentica, ul. Rąbieńska 129, 94-244 Łódź.
Jesteśmy tuż przy przystanku linii miejskiej nr 6, przy skrzyżowaniu ul. Szczecińskiej i Rąbieńskiej,
bardzo blisko zjazdu z S14 (Łódź-Teofilów). Na miejscu czeka bezpłatny parking dla pacjentów.


