
Ukruszony ząb – przyczyny, leczenie i co zrobić od razu
Ukruszony ząb może wydawać się błahym problemem, ale w rzeczywistości niesie za sobą poważne konsekwencje zdrowotne. Może przytrafić się każdemu – niezależnie od wieku, stylu życia czy poziomu higieny jamy ustnej. Czasem to tylko drobna rysa, innym razem – wyraźne pęknięcie. Nie warto go ignorować, ponieważ nawet niewielkie uszkodzenie może prowadzić do poważnych komplikacji.
Dlaczego ząb się kruszy? Przyczyn może być wiele – niektóre są oczywiste, inne mniej. Oto najczęstsze z nich wraz z krótkim wyjaśnieniem: Zadzwoń tel: 692-682-670
- Bruksizm – mimowolne zgrzytanie zębami, najczęściej w nocy, które z czasem osłabia szkliwo i prowadzi do mikropęknięć.
- Próchnica – bakteryjna infekcja niszcząca strukturę zęba od środka, czyniąc go bardziej podatnym na uszkodzenia mechaniczne.
- Urazy mechaniczne – np. uderzenie podczas uprawiania sportu bez ochraniacza lub nagryzienie twardego przedmiotu.
- Niedobory żywieniowe – zwłaszcza wapnia i witaminy D, które są niezbędne do utrzymania mocnych i zdrowych zębów.
- Zaniedbania higieniczne – brak regularnego szczotkowania i nitkowania zwiększa ryzyko osłabienia szkliwa i rozwoju próchnicy.
Jakie są objawy ukruszonego zęba? Nie zawsze są oczywiste – czasem pojawiają się nagle, innym razem rozwijają się stopniowo. Warto zwrócić uwagę na:
- Ostry ból przy nagryzaniu lub żuciu pokarmów.
- Nadwrażliwość na zimne, gorące lub słodkie napoje i potrawy.
- Uczucie szorstkości lub nierówności na powierzchni zęba, wyczuwalne językiem.
- Stopniowo narastający dyskomfort, który może wskazywać na pogłębiające się uszkodzenie.
Nie lekceważ nawet najmniejszych objawów. Nawet drobne ukruszenie może być początkiem poważniejszego problemu. Im szybciej zgłosisz się do dentysty, tym większa szansa na prostą, bezbolesną i skuteczną naprawę. Zwlekanie działa na Twoją niekorzyść.
Nowoczesna stomatologia oferuje wiele skutecznych metod leczenia ukruszonych zębów. Wybór odpowiedniej metody zależy od stopnia uszkodzenia. Oto najczęściej stosowane rozwiązania:
- Wypełnienie kompozytowe – szybka i estetyczna metoda, idealna przy niewielkich ubytkach.
- Licówki porcelanowe lub korony – stosowane, gdy potrzebna jest większa odbudowa zęba oraz poprawa jego wyglądu.
- Leczenie kanałowe – konieczne, gdy pęknięcie sięga do miazgi zęba i powoduje stan zapalny.
- Ekstrakcja i implant – ostateczność, gdy ząb jest zbyt zniszczony, by go uratować.
Ukruszony ząb to nie tylko problem estetyczny – to sygnał ostrzegawczy, że w jamie ustnej dzieje się coś niepokojącego. Zignorowanie objawów może prowadzić do infekcji, a nawet utraty zęba. Dlatego nie zwlekaj – umów się na wizytę u dentysty jak najszybciej i zadbaj o swoje zdrowie. A przy okazji – zastanów się, czy robisz wystarczająco dużo, by codziennie chronić swoje zęby?
Czym jest ukruszony ząb i dlaczego nie należy go bagatelizować
Ukruszony ząb to nie tylko defekt estetyczny – to sygnał ostrzegawczy, że w jamie ustnej dzieje się coś niepokojącego. Do ukruszenia dochodzi, gdy odłamuje się fragment szkliwa, zębiny lub innej struktury zęba. Choć na pierwszy rzut oka może wydawać się to błahostką, niewielkie uszkodzenie może prowadzić do poważnych konsekwencji – od nadwrażliwości, przez infekcje, aż po całkowitą utratę zęba.
Nawet drobne pęknięcie powinno być sygnałem alarmowym. Ukruszony ząb może boleśnie reagować na ciepło, zimno, a nawet na dotyk podczas jedzenia. Z czasem nieleczone uszkodzenie może się pogłębiać i prowadzić do poważniejszych problemów zdrowotnych. Szybka diagnoza i odpowiednie leczenie to nie tylko kwestia estetyki – to inwestycja w zdrowie jamy ustnej.
Różnice między ukruszeniem a złamaniem zęba
Choć pojęcia „ukruszenie” i „złamanie” zęba mogą brzmieć podobnie, oznaczają zupełnie różne przypadki:
| Rodzaj uszkodzenia | Zakres uszkodzenia | Objawy | Możliwe leczenie |
|---|---|---|---|
| Ukruszenie | Zewnętrzne warstwy – głównie szkliwo | Często bez bólu lub z niewielką nadwrażliwością | Odbudowa kompozytowa |
| Złamanie | Głębsze struktury – zębina, miazga | Silny ból, szczególnie przy nacisku lub zmianie temperatury | Leczenie kanałowe, odbudowa protetyczna |
Dlaczego warto znać różnicę? Bo od rodzaju uszkodzenia zależy sposób leczenia. Im lepiej rozumiesz, co się dzieje z Twoim zębem, tym łatwiej podejmiesz świadomą decyzję o dalszym postępowaniu.
Najczęstsze lokalizacje ukruszeń: jedynka, ząb przy dziąśle, ząb z plombą
Ukruszenia mogą występować w różnych miejscach jamy ustnej, a każde z nich niesie inne wyzwania i wymaga indywidualnego podejścia:
- Ukruszenie jedynki (przedniego zęba): Widoczne uszkodzenie wpływa na estetykę uśmiechu i pewność siebie. Wymaga precyzyjnej rekonstrukcji, która przywróci naturalny wygląd i proporcje zęba.
- Ukruszenie zęba przy dziąśle: Trudna lokalizacja sprzyja gromadzeniu się bakterii i rozwojowi stanów zapalnych. Szybka interwencja stomatologiczna może zapobiec infekcji i bardziej inwazyjnym zabiegom.
- Ukruszenie zęba z plombą: Ząb z wcześniejszym wypełnieniem jest osłabiony i bardziej podatny na dalsze uszkodzenia. Często konieczne jest zastosowanie trwalszych materiałów lub odbudowy protetycznej, by przywrócić jego funkcjonalność.
Każdy przypadek ukruszenia wymaga indywidualnej oceny i szybkiej reakcji. Im wcześniej zgłosisz się do dentysty, tym większa szansa na uniknięcie powikłań i szybszy powrót do komfortu codziennego życia.
Objawy i rozpoznanie ukruszonego zęba
Ukruszony ząb może pojawić się nagle i bez ostrzeżenia, dlatego szybka reakcja ma kluczowe znaczenie. Objawy bywają podstępne — od lekkiego bólu, przez nadwrażliwość na temperaturę, aż po uczucie obecności ostrego fragmentu w ustach. Jeśli zauważysz zmianę kształtu zęba, nie ignoruj tego — to może być pierwszy sygnał uszkodzenia. Im szybciej podejmiesz działanie, tym większa szansa na uniknięcie poważniejszych komplikacji.
Nie zawsze jednak łatwo zauważyć problem — szczególnie gdy uszkodzenie jest niewielkie i nie powoduje silnego bólu. Dlatego warto wiedzieć, jak rozpoznać ukruszony ząb, zanim sytuacja się pogorszy. Jeśli coś Cię niepokoi, nie zwlekaj — skonsultuj się z dentystą. Diagnostyka takiego uszkodzenia obejmuje zarówno dokładne badanie w gabinecie, jak i zdjęcie RTG, które pozwala ocenić głębokość pęknięcia oraz ewentualne uszkodzenie wnętrza zęba.
Ból, nadwrażliwość i inne sygnały ostrzegawcze
Jednym z pierwszych objawów ukruszenia może być ból podczas jedzenia lub picia gorących i zimnych napojów. Dzieje się tak, ponieważ odsłonięta zębina jest wyjątkowo wrażliwa na bodźce zewnętrzne. Nawet niewielkie ukruszenie może prowadzić do poważnych konsekwencji, jeśli zostanie zignorowane.
Warto zwrócić uwagę na inne objawy ostrzegawcze, takie jak:
- zmieniony kontur zęba — ząb może wydawać się nierówny lub ostry,
- uczucie obecności ciała obcego w jamie ustnej,
- delikatny, ale uporczywy ból, który może wskazywać na odsłonięcie wrażliwych tkanek,
- nasilająca się nadwrażliwość na zimno, ciepło lub słodkie pokarmy.
Zignorowanie tych objawów może prowadzić do infekcji lub konieczności bardziej inwazyjnego leczenia.
Jak rozpoznać ukruszony ząb samodzielnie
Zadzwoń tel: 692-682-670 Choć ostateczną diagnozę powinien postawić dentysta, istnieją sygnały, które możesz zauważyć samodzielnie. Zwróć uwagę na:
- nagłą zmianę powierzchni zęba — jeśli język wyczuwa ostrość lub nierówność,
- nowe dolegliwości bólowe — szczególnie podczas gryzienia lub kontaktu z zimnem,
- uczucie ubytku — jakby brakowało fragmentu zęba,
- nasiloną nadwrażliwość, której wcześniej nie było.
Co robić w takiej sytuacji? Unikaj twardych pokarmów, które mogą pogłębić uszkodzenie. Jeśli problem dotyczy przedniego zęba (np. jedynki), nie zwlekaj — szybka wizyta u stomatologa może zapobiec dalszym uszkodzeniom i przywrócić estetykę uśmiechu. Pamiętaj, że zęby przednie to Twoja wizytówka.
Diagnostyka stomatologiczna: zdjęcie RTG i badanie kliniczne
Skuteczna diagnostyka to fundament skutecznego leczenia. W przypadku ukruszonego zęba kluczowe są dwie metody:
| Metoda | Opis | Cel |
|---|---|---|
| RTG zęba | Obrazowanie wnętrza zęba i otaczających struktur | Ocena głębokości pęknięcia i ewentualnego uszkodzenia miazgi |
| Badanie kliniczne | Ocena stanu zęba i tkanek miękkich w jamie ustnej | Ustalenie zakresu uszkodzenia i wybór odpowiedniego leczenia |
Połączenie tych dwóch metod daje pełny obraz sytuacji i pozwala dobrać najlepszy plan leczenia. Nowoczesna diagnostyka stomatologiczna to nie tylko technologia — to przede wszystkim narzędzie chroniące zdrowie jamy ustnej i zapobiegające poważniejszym problemom w przyszłości.
potrzebujesz rtg zęba w łodzi? umów online
Przyczyny ukruszenia zęba

Ukruszony ząb? Tak, to się zdarza – i to częściej, niż mogłoby się wydawać. Choć na pierwszy rzut oka może wyglądać jak drobnostka, przyczyny takiego uszkodzenia bywają naprawdę różnorodne. Warto je poznać, by lepiej chronić swój uśmiech. A jeśli już dojdzie do ukruszenia – szybka reakcja może uratować sytuację. Sprawdź, co najczęściej prowadzi do ukruszenia zębów i co zwiększa ryzyko ich wystąpienia.
Bruksizm i zgrzytanie zębami
Bruksizm – czyli nieświadome zgrzytanie lub zaciskanie zębów, najczęściej w nocy – to jedna z głównych przyczyn uszkodzeń szkliwa. Choć może wydawać się niegroźny, z czasem prowadzi do poważnych uszkodzeń. Szkliwo się ściera, zęby stają się słabsze, a następnie mogą pękać.
Typowe objawy to:
- poranny ból szczęki,
- drobne pęknięcia szkliwa, szczególnie na przednich zębach,
- zwiększona wrażliwość zębów.
W poważniejszych przypadkach dochodzi do wyraźnego ukruszenia – i wtedy wizyta u dentysty staje się koniecznością.
Próchnica i osłabienie struktury zęba
Próchnica to cichy, ale skuteczny przeciwnik. Działa powoli, podstępnie niszcząc szkliwo. Gdy dochodzi do demineralizacji, w zębie tworzą się ubytki, które osłabiają jego strukturę. Nawet niewielki nacisk może wtedy doprowadzić do pęknięcia zęba.
Skutki nieleczonej próchnicy:
- bóle zębów,
- stany zapalne,
- konieczność leczenia kanałowego.
Regularne kontrole stomatologiczne i szybka reakcja na pierwsze objawy to najlepszy sposób, by uniknąć poważniejszych problemów. Lepiej zapobiegać niż leczyć – to nie pusty frazes.
Urazy mechaniczne i czynniki zewnętrzne
Wypadki chodzą po ludziach – i po zębach też. Uderzenie podczas gry w piłkę, niefortunny upadek, a nawet próba otwarcia butelki zębami (tak, niektórzy naprawdę to robią) mogą skończyć się ukruszeniem.
Najczęstsze przyczyny urazów mechanicznych:
- aktywność fizyczna bez ochrony zębów,
- nawyki używania zębów jako narzędzi,
- spożywanie bardzo twardych pokarmów (np. orzechy, landrynki),
- wcześniejsze osłabienie zębów przez próchnicę lub bruksizm.
Warto chronić zęby podczas uprawiania sportu i unikać ryzykownych zachowań. Pamiętaj – zęby to nie narzędzia!
Wpływ diety i higieny jamy ustnej

To, co jesz i pijesz, ma bezpośredni wpływ na kondycję Twoich zębów. Cukry i kwasy – obecne w słodyczach, napojach gazowanych czy owocach cytrusowych – mogą poważnie osłabić szkliwo. Jeśli do tego dochodzi nieregularne lub niedokładne szczotkowanie, próchnica ma otwartą drogę.
Przykład? Osoby, które często sięgają po słodzone napoje, a zęby myją tylko raz dziennie, są znacznie bardziej narażone na ukruszenia.
Aby tego uniknąć, należy zadbać o:
- zrównoważoną, bogatą w minerały dietę,
- codzienną, dokładną higienę jamy ustnej,
- regularne wizyty kontrolne u dentysty,
- ograniczenie spożycia cukrów i kwaśnych produktów.
To proste kroki, które mogą uchronić Cię przed nieprzyjemnymi niespodziankami. A zdrowy uśmiech? Bezcenny.
Co zrobić, gdy dojdzie do ukruszenia zęba
Ukruszony ząb może pojawić się nagle – wystarczy twardy orzech, przypadkowe uderzenie lub nocne zgrzytanie zębami. Choć z pozoru wydaje się to drobny problem, szybka reakcja ma kluczowe znaczenie. Może nie tylko złagodzić ból, ale przede wszystkim zapobiec dalszym uszkodzeniom i powikłaniom.
W pierwszej kolejności należy ocenić stopień uszkodzenia. Czy to tylko niewielkie pęknięcie szkliwa, czy może głębsze uszkodzenie? Niezależnie od sytuacji, należy jak najszybciej skontaktować się z dentystą. Nawet drobne ukruszenie może prowadzić do infekcji lub pogorszenia stanu zęba. Do czasu wizyty warto zastosować proste, domowe sposoby łagodzące objawy i chroniące ząb przed dalszymi urazami.
Pierwsza pomoc i zabezpieczenie ostrej krawędzi
Po ukruszeniu zęba należy zadbać o jego tymczasowe zabezpieczenie. Ostre krawędzie mogą drażnić język, dziąsła, a nawet wnętrze policzka, co potęguje dyskomfort. W takiej sytuacji pomocny będzie:
- Wosk ortodontyczny – dostępny bez recepty w aptekach, łatwy w użyciu. Tworzy ochronną warstwę, która skutecznie chroni przed podrażnieniami i pozwala funkcjonować bez bólu do czasu wizyty u stomatologa.
Zabezpieczenie ukruszonego zęba to nie tylko kwestia komfortu. Odsłonięte krawędzie mogą prowadzić do mikrourazów, a nawet stanów zapalnych. Nawet tymczasowe środki, takie jak wosk, mogą odegrać istotną rolę w ochronie zęba i jamy ustnej przed poważniejszymi komplikacjami.
Kiedy konieczna jest natychmiastowa wizyta u dentysty
Nie każde ukruszenie wymaga pilnej interwencji, ale są sytuacje, w których wizyta u dentysty nie może czekać. Bezzwłocznie skontaktuj się ze specjalistą, jeśli występuje:
- Silny ból
- Krwawienie
- Trudności w jedzeniu lub mówieniu
- Reakcja zęba na zimno lub ciepło
- Obrzęk lub gorączka
W takich przypadkach leczenie może wymagać znieczulenia miejscowego, które umożliwi dokładne oczyszczenie i odbudowę zęba. Szybka konsultacja z dentystą może zapobiec poważniejszym problemom, takim jak zapalenie miazgi czy konieczność leczenia kanałowego.
Tymczasowe środki: fleczer, wosk ortodontyczny, leki przeciwbólowe
Co zrobić, gdy dentysta jest niedostępny – np. w weekend lub podczas wyjazdu? Warto znać kilka tymczasowych rozwiązań, które pomogą przetrwać do czasu profesjonalnej pomocy:
- Fleczer – specjalny materiał do tymczasowego wypełniania ubytków, dostępny w aptekach. Można go samodzielnie nałożyć, by zabezpieczyć ząb przed dalszymi uszkodzeniami i działaniem bodźców zewnętrznych.
- Wosk ortodontyczny – idealny do ochrony ostrych krawędzi, zapobiega podrażnieniom języka i dziąseł.
- Leki przeciwbólowe – takie jak ibuprofen lub paracetamol, pomagają złagodzić ból i przetrwać do wizyty u specjalisty.
Znajomość tych prostych metod może okazać się bezcenna w nagłych sytuacjach, kiedy liczy się każda chwila. Choć nie zastąpią one leczenia, pozwalają zyskać czas i uniknąć pogorszenia stanu zęba.
Metody leczenia ukruszonego zęba
Ukruszony ząb może przydarzyć się każdemu – niezależnie od wieku, stylu życia czy poziomu higieny jamy ustnej. Choć z pozoru wydaje się niegroźny, może prowadzić do poważnych problemów zdrowotnych i estetycznych. Warto więc wiedzieć, co może być przyczyną takiego uszkodzenia, jakie objawy powinny nas zaniepokoić i – co najważniejsze – jak skutecznie sobie z nim poradzić.
Najczęstsze przyczyny ukruszenia zęba to:
- Bruksizm – zgrzytanie zębami, które z czasem osłabia szkliwo.
- Próchnica – cichy niszczyciel, który działa od wewnątrz.
- Urazy mechaniczne – np. podczas uprawiania sportu bez ochraniacza.
- Niedobory wapnia i witamin – osłabiają strukturę zęba.
- Niewłaściwa higiena jamy ustnej – zwiększa ryzyko pęknięć i ubytków.
Objawy ukruszonego zęba mogą być różne:
- nagły, przeszywający ból,
- nadwrażliwość na zimno lub ciepło,
- dyskomfort przy gryzieniu,
- zmiana kształtu zęba – często niezauważalna.
Nie warto ignorować nawet drobnych objawów. Im szybciej zgłosisz się do dentysty, tym większa szansa na skuteczne leczenie i uniknięcie powikłań.
Nowoczesna stomatologia oferuje wiele metod leczenia ukruszonych zębów – od prostych wypełnień, przez licówki i korony, aż po leczenie kanałowe czy implanty. Ich wspólny cel to przywrócenie funkcji i estetyki zęba, byś znów mógł uśmiechać się bez skrępowania.
Ukruszony ząb to nie tylko problem estetyczny – to sygnał, że Twoja jama ustna wymaga uwagi. Reaguj szybko, zanim drobna rysa przerodzi się w poważny problem.
Wypełnienie kompozytowe – szybka naprawa niewielkich uszkodzeń

W przypadku niewielkiego ukruszenia idealnym rozwiązaniem może być wypełnienie kompozytowe. To szybka, bezbolesna i estetyczna metoda odbudowy zęba, która pozwala przywrócić jego pierwotny kształt i funkcję.
Jak przebiega zabieg?
- Dentysta oczyszcza uszkodzony obszar.
- Nakłada warstwę kompozytu dopasowanego do koloru zęba.
- Utwardza materiał specjalnym światłem.
Efekt? Ząb wygląda naturalnie, a Ty możesz wrócić do codziennych zajęć bez przeszkód. Kompozyt jest trwały i odporny na codzienne obciążenia – żucie, mówienie, śmiech. To szybkie i skuteczne rozwiązanie dla drobnych uszkodzeń.
Licówki – estetyczna odbudowa przednich zębów
Jeśli ukruszeniu uległ przedni ząb, warto rozważyć licówki. To cienkie płatki z porcelany lub kompozytu, które przykleja się do przedniej powierzchni zęba, skutecznie maskując uszkodzenia i poprawiając estetykę uśmiechu.
Etapy zakładania licówek:
- Delikatne oszlifowanie zęba.
- Pobranie wycisku.
- Wykonanie indywidualnie dopasowanej licówki.
- Trwałe przyklejenie do zęba.
Licówki to nie tylko sposób na ukruszenia. Pozwalają również poprawić kształt, kolor i długość zębów. To doskonała opcja dla osób, które marzą o hollywoodzkim uśmiechu bez inwazyjnych zabiegów.
Korona zębowa – rozwiązanie przy większych ubytkach
Gdy uszkodzenie zęba jest zbyt rozległe, by wystarczyło wypełnienie lub licówka, najlepszym rozwiązaniem może być korona zębowa. To trwałe uzupełnienie protetyczne, które całkowicie otacza ząb, przywracając mu funkcję i estetykę.
Jak wygląda proces założenia korony?
- Oszlifowanie zęba i przygotowanie pod koronę.
- Pobranie wycisku.
- Wykonanie korony w laboratorium protetycznym.
- Trwałe zamocowanie korony na zębie.
Rodzaje koron:
- porcelanowe,
- ceramiczne,
- metalowe (lub z podbudową metalową).
Wybór materiału zależy od lokalizacji zęba i indywidualnych potrzeb pacjenta. Korona to nie tylko odbudowa – to także sposób na odzyskanie pewności siebie.
Leczenie kanałowe – gdy uszkodzenie sięga miazgi
Jeśli ukruszenie zęba sięga głęboko i narusza miazgę, konieczne może być leczenie kanałowe. Choć brzmi poważnie, to skuteczna i bezpieczna metoda, by uratować ząb i pozbyć się bólu.
Przebieg leczenia kanałowego:
- Usunięcie zainfekowanej miazgi.
- Dokładne oczyszczenie kanałów korzeniowych.
- Wypełnienie kanałów specjalnym materiałem.
- Odbudowa zęba – często za pomocą korony.
Dzięki nowoczesnym technologiom zabieg jest niemal bezbolesny i bardzo skuteczny. To doskonała opcja, jeśli chcesz zachować swój naturalny ząb i uniknąć ekstrakcji.
leczenie kanałowe pod mikroskoep w łodzi. Zadzwoń: 692 682 670
Implant lub most – gdy ząb nie nadaje się do odbudowy
W sytuacji, gdy ząb jest zbyt zniszczony, by go odbudować, rozwiązaniem są implanty lub mosty protetyczne. Oba sposoby pozwalają na trwałe uzupełnienie brakującego zęba i przywrócenie pełnej funkcjonalności jamy ustnej.
| Rozwiązanie | Opis | Zalety |
|---|---|---|
| Implant | Tytanowy wszczep zastępujący korzeń zęba, na którym mocowana jest korona. | Trwałość, stabilność, brak obciążenia sąsiednich zębów. |
| Most protetyczny | Uzupełnienie oparte na sąsiednich zębach, zakrywające lukę po utraconym zębie. | Alternatywa dla implantu, szybki efekt estetyczny. |
Wybór między implantem a mostem zależy od stanu kości, ogólnego zdrowia jamy ustnej oraz indywidualnych preferencji pacjenta. Oba rozwiązania pozwalają odzyskać komfort życia i estetykę uśmiechu. To może być Twój nowy początek.
Ukruszony ząb z plombą – jak postępować
Ukruszenie zęba z plombą to nie tylko defekt estetyczny, ale sygnał, że ząb jest osłabiony i wymaga pilnej interwencji. Choć może się wydawać, że to drobnostka, w rzeczywistości każdy taki przypadek niesie ryzyko pogłębienia uszkodzenia – aż do pęknięcia lub konieczności leczenia kanałowego.
Nie należy zwlekać z wizytą u stomatologa. Specjalista oceni, czy wystarczy wymienić wypełnienie, czy też konieczna będzie bardziej zaawansowana rekonstrukcja, np. korona protetyczna. Taki zabieg nie tylko zabezpiecza ząb, ale również przywraca jego funkcjonalność i estetykę.
Problem z ukruszonym zębem? Zadzwoń tel: 692-682-670
Każdy przypadek ukruszenia zęba z plombą wymaga indywidualnego podejścia. Kluczowe znaczenie mają:
- stan zęba,
- rodzaj wcześniejszego leczenia,
- lokalizacja uszkodzenia.
Warto zadać sobie pytanie: czy robimy wystarczająco dużo, by zapobiec takim problemom w przyszłości?
Ukruszony ząb po leczeniu kanałowym – szczególne ryzyko
Ząb po leczeniu kanałowym jest znacznie bardziej podatny na uszkodzenia. Przypomina wydrążony pień drzewa – z zewnątrz może wyglądać solidnie, ale wewnątrz jest osłabiony. Brak żywej miazgi sprawia, że nie reaguje na bodźce i staje się kruchy.
W przypadku ukruszenia takiego zęba, szybka reakcja jest kluczowa. Najczęściej stosowanym rozwiązaniem jest korona protetyczna, która:
- wzmacnia strukturę zęba,
- chroni przed dalszymi urazami,
- przywraca funkcjonalność i estetykę.
Zęby po leczeniu kanałowym wymagają regularnych kontroli. To nie tylko kwestia wyglądu, ale przede wszystkim zdrowia jamy ustnej. Czy jesteś gotów poświęcić im więcej uwagi, zanim pojawią się poważniejsze komplikacje?
Ukruszony ząb przy dziąśle – trudności i możliwe powikłania
Ukruszenie zęba tuż przy dziąśle to poważniejsze wyzwanie. Może prowadzić do odsłonięcia miazgi lub korzenia, co zwiększa ryzyko infekcji i stanów zapalnych. Leczenie bywa trudne ze względu na ograniczony dostęp i bliskość tkanek miękkich.
W zależności od stopnia uszkodzenia, stomatolog może zaproponować:
- odbudowę kompozytową,
- koronę protetyczną,
- leczenie chirurgiczne – w bardziej skomplikowanych przypadkach.
Najważniejsze to zabezpieczyć ząb, zanim dojdzie do powikłań – takich jak ropień czy nawet utrata zęba.
Regularne kontrole i szybka reakcja na pierwsze objawy to najlepsza forma profilaktyki. Czy jesteśmy gotowi traktować zdrowie naszych dziąseł z należytą troską?
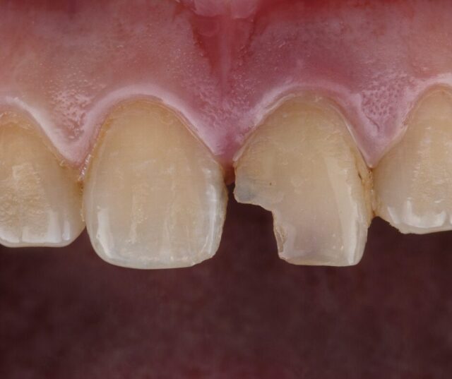
Ukruszona jedynka – znaczenie estetyki i precyzyjnej rekonstrukcji
Ukruszenie jedynki to nie tylko problem zdrowotny, ale przede wszystkim estetyczny. Przedni ząb jest wizytówką naszego uśmiechu – każda niedoskonałość w tym miejscu natychmiast rzuca się w oczy. Dlatego tak ważna jest precyzja i estetyka leczenia.
W zależności od stopnia uszkodzenia, dentysta może zaproponować:
- licówki porcelanowe,
- kompozytową rekonstrukcję,
- koronę protetyczną.
Licówki to cienkie płatki porcelany przyklejane do powierzchni zęba. Pozwalają one:
- przywrócić naturalny wygląd,
- wzmocnić strukturę zęba,
- uzyskać efekt estetyczny nie do odróżnienia od naturalnego zęba.
Nawet niewielkie ukruszenie jedynki to sygnał ostrzegawczy. Może świadczyć o osłabieniu zęba i konieczności jego zabezpieczenia. Czy jesteśmy gotowi zadbać o estetykę i zdrowie naszego uśmiechu z taką samą starannością, jak o inne aspekty naszego wyglądu?
Ukruszony ząb u dzieci

Ukruszony ząb u dziecka to sytuacja, która może wywołać stres zarówno u malucha, jak i u rodziców. Dzieci są pełne energii – biegają, skaczą, przewracają się… i niestety czasem kończy się to uszkodzeniem zęba. Warto wiedzieć, jak w takiej sytuacji zareagować i jak zapewnić dziecku odpowiednią opiekę stomatologiczną.
Choć ukruszenie może wydawać się niegroźne, jego skutki mogą być poważniejsze, niż się wydaje. Do najczęstszych należą:
-
-
- Ból i nadwrażliwość – szczególnie przy jedzeniu lub piciu ciepłych i zimnych napojów.
- Trudności z jedzeniem i mówieniem – uszkodzony ząb może przeszkadzać w codziennym funkcjonowaniu.
- Ryzyko infekcji – nieleczony ząb może prowadzić do stanów zapalnych.
- Wpływ na rozwój zgryzu – szczególnie w przypadku zębów mlecznych, które pełnią funkcję przewodników dla zębów stałych.
-
Szybka wizyta u dentysty pozwala ocenić sytuację i wdrożyć odpowiednie leczenie, które przywróci dziecku komfort – i spokój rodzicom.
Różnice między zębem mlecznym a stałym
Choć zęby wyglądają podobnie, zęby mleczne i stałe różnią się budową i funkcją. Oto najważniejsze różnice:
| Cecha | Zęby mleczne | Zęby stałe |
|---|---|---|
| Grubość szkliwa | Cieńsze | Grubsze |
| Mineralizacja | Mniej zmineralizowane | Bardziej zmineralizowane |
| Odporność na uszkodzenia | Bardziej podatne | Większa odporność |
| Znaczenie | Przewodniki dla zębów stałych | Docelowe uzębienie |
Znajomość tych różnic jest kluczowa dla skutecznego leczenia i zapobiegania problemom w przyszłości.
Leczenie ukruszonego zęba mlecznego
Leczenie ukruszonego mleczaka musi być bezpieczne i dostosowane do potrzeb rozwijającego się organizmu dziecka. Jednym z najczęściej stosowanych materiałów jest szkło-jonomer – substancja, która:
- dobrze przylega do zęba,
- jest biokompatybilna,
- uwalnia fluor, który chroni przed próchnicą,
- jest bezpieczna dla dzieci.
Proces leczenia przebiega zazwyczaj w kilku krokach:
- Oczyszczenie uszkodzonego fragmentu – usunięcie luźnych i zainfekowanych tkanek.
- Nałożenie materiału odbudowującego – szkło-jonomer wypełnia ubytek.
- Utwardzenie materiału – zapewnia trwałość i funkcjonalność.
Efekt? Dziecko może znów jeść, mówić i uśmiechać się bez przeszkód.
Po zabiegu ważne są regularne kontrole stomatologiczne, które pozwalają monitorować stan zęba i zapobiegać ewentualnym komplikacjom. To inwestycja w zdrowy uśmiech na długie lata.
Kiedy konieczna jest odbudowa, a kiedy obserwacja
Nie każde ukruszenie zęba wymaga natychmiastowej interwencji. Kluczowe jest określenie stopnia uszkodzenia. W zależności od sytuacji, dentysta może zalecić:
- Obserwację – jeśli uszkodzenie jest niewielkie, a dziecko nie odczuwa bólu ani nadwrażliwości. Wystarczą regularne kontrole, by mieć sytuację pod kontrolą.
- Odbudowę – gdy pojawia się ból, dyskomfort lub trudności z jedzeniem. Wówczas konieczne jest zastosowanie materiału odbudowującego, najczęściej szkło-jonomeru.
Szybka reakcja to nie tylko ulga dla dziecka, ale też sposób na uniknięcie poważniejszych problemów w przyszłości.
Bo przecież – czy nie warto zadbać o zdrowy uśmiech swojego dziecka już dziś?
Koszty leczenia ukruszonego zęba
Ukruszony ząb może wydawać się błahym problemem, ale jego naprawa potrafi zaskoczyć – zwłaszcza ceną. Choć nie zawsze musi być drogo, warto wiedzieć, co wpływa na koszt leczenia, zanim usiądziesz w fotelu stomatologicznym. Wdalszej części artykułu szczegółowo omówimy:
- czynniki wpływające na cenę leczenia,
- orientacyjne koszty poszczególnych zabiegów,
- zakres refundacji przez Narodowy Fundusz Zdrowia.
Od czego zależy cena naprawy
Nie ma jednej, uniwersalnej ceny za naprawę uszkodzonego zęba – wszystko zależy od kilku kluczowych czynników:
- Skala uszkodzenia: niewielkie pęknięcie można naprawić szybkim wypełnieniem kompozytowym – to tani, mało inwazyjny zabieg o zadowalającym efekcie.
- Stopień zaawansowania uszkodzenia: poważniejsze przypadki mogą wymagać leczenia kanałowego lub założenia korony, co znacząco podnosi koszt.
- Położenie zęba: zęby przednie, ze względu na estetykę, wymagają większej precyzji, co wpływa na cenę.
- Rodzaj użytego materiału: kompozyt, porcelana, cyrkon – każdy z nich różni się ceną i właściwościami.
- Doświadczenie stomatologa: im większe, tym zazwyczaj drożej – ale też bezpieczniej i z lepszym efektem końcowym.
Przykładowe koszty poszczególnych metod
Ceny leczenia różnią się w zależności od miasta, gabinetu i wybranej metody. Poniżej przedstawiamy orientacyjne widełki cenowe dla najczęściej stosowanych zabiegów:
| Rodzaj zabiegu | Zakres cenowy | Uwagi |
|---|---|---|
| Wypełnienie kompozytowe | 100–300 zł | Najczęściej stosowane przy niewielkich uszkodzeniach |
| Licówki | 800–3000 zł (za ząb) | Estetyczne nakładki, głównie na zęby przednie |
| Korony zębowe | 500–3000 zł | Cena zależy od materiału: metal, porcelana, cyrkon |
| Leczenie kanałowe | 300–1800 zł | W zależności od liczby kanałów i stopnia trudności |
Pamiętaj: to tylko szacunkowe kwoty. Ostateczna cena zależy od Twojej indywidualnej sytuacji, zastosowanej technologii oraz lokalizacji gabinetu. Zawsze warto poprosić o indywidualną wycenę przed rozpoczęciem leczenia, aby uniknąć nieprzyjemnych niespodzianek.
Leczenie ukruszonego zęba na NFZ – co obejmuje refundacja
Refundacja z NFZ? Częściowo – tak, ale w ograniczonym zakresie. Fundusz pokrywa głównie podstawowe zabiegi, takie jak:
- Wypełnienia amalgamatowe – stosowane w zębach bocznych,
- Wypełnienia kompozytowe – w zębach przednich, ale tylko w podstawowym zakresie estetycznym.
Nie obejmuje natomiast: licówek, koron porcelanowych, nowoczesnych materiałów czy zaawansowanych technologii. W takich przypadkach konieczne będzie pokrycie kosztów z własnej kieszeni.
Dodatkowo, dostępność refundowanych usług może się różnić w zależności od regionu i konkretnej placówki. Dlatego warto wcześniej:
- skontaktować się z gabinetem współpracującym z NFZ,
- dowiedzieć się, jakie zabiegi są dostępne,
- sprawdzić, czy konieczna będzie dopłata.
Podsumowując: NFZ może pomóc, ale tylko w podstawowym zakresie. Jeśli zależy Ci na estetyce, trwałości i komforcie – przygotuj się na dodatkowe koszty. Świadomy wybór metody leczenia to inwestycja w zdrowie i sposób na uniknięcie finansowych rozczarowań.
Jak zapobiegać ukruszeniom zębów
Ukruszony ząb to nie błahostka. Choć może wydawać się niegroźny, nawet niewielkie uszkodzenie może prowadzić do poważnych konsekwencji – zarówno zdrowotnych, jak i estetycznych. Taki uraz może przytrafić się każdemu, niezależnie od wieku, stylu życia czy stanu zdrowia. Dlatego warto wiedzieć, co powoduje ukruszenia, jak je rozpoznać i jak reagować, gdy się pojawią.
Najczęstsze przyczyny ukruszeń zębów:
- Bruksizm – mimowolne zgrzytanie zębami, które prowadzi do ich ścierania i osłabienia.
- Próchnica – osłabia strukturę zęba, czyniąc go bardziej podatnym na pęknięcia.
- Urazy mechaniczne – np. uderzenie podczas uprawiania sportu bez ochraniacza.
- Niewłaściwa dieta – uboga w minerały, osłabia szkliwo i zwiększa ryzyko uszkodzeń.
- Zaniedbania higieniczne – sprzyjają próchnicy i osłabieniu zębów.
Objawy ukruszenia zęba mogą być różne – od ostrego bólu i nadwrażliwości na temperaturę, przez dyskomfort przy gryzieniu, aż po subtelną zmianę kształtu zęba. Czasem to tylko drobne uszkodzenie, które łatwo przeoczyć. Nie warto jednak ignorować takich sygnałów – szybka reakcja może zapobiec poważniejszym problemom.
Nowoczesna stomatologia oferuje skuteczne metody leczenia ukruszeń. W zależności od stopnia uszkodzenia, dentysta może zaproponować:
- Wypełnienie kompozytowe – idealne przy niewielkich ubytkach.
- Licówki lub korony – stosowane przy większych pęknięciach, poprawiają wygląd i wzmacniają ząb.
- Leczenie kanałowe – konieczne, gdy uszkodzenie sięga miazgi.
- Implanty lub mosty – w przypadku, gdy ząb nie nadaje się do odbudowy.
Ukruszenie zęba to sygnał ostrzegawczy. Warto działać od razu, by uniknąć kosztownego i długotrwałego leczenia. Lepiej zapobiegać niż leczyć – prawda?
Ochraniacze na zęby i profilaktyka urazów
Ochraniacze na zęby to skuteczna ochrona – szczególnie dla osób uprawiających sporty kontaktowe, takie jak boks, hokej czy rugby. Działają jak amortyzator: rozpraszają siłę uderzenia i chronią zęby przed złamaniem lub ukruszeniem.
Najlepszym wyborem jest ochraniacz wykonany na zamówienie, ponieważ:
- idealnie dopasowuje się do kształtu szczęki,
- zapewnia maksymalną ochronę,
- jest wygodny w noszeniu,
- nie przeszkadza podczas mówienia czy oddychania.
Noszenie ochraniacza to niewielki wysiłek, który może uchronić przed poważnymi urazami. Czy warto ryzykować zdrowie zębów dla jednej nieostrożnej chwili? Zdecydowanie nie.
Znaczenie higieny jamy ustnej i regularnych kontroli
Codzienna higiena jamy ustnej to fundament zdrowych zębów. Regularne szczotkowanie, nitkowanie i płukanie ust nie tylko zapobiegają próchnicy, ale również wzmacniają szkliwo, zmniejszając ryzyko pęknięć i ukruszeń.
Nie zapominaj o regularnych wizytach u dentysty. Profesjonalne zabiegi, takie jak:
- czyszczenie zębów,
- fluoryzacja,
- kontrola stanu uzębienia Zadzwoń
– pozwalają wykryć problemy na wczesnym etapie i zapobiec ich pogłębianiu. Dentysta może również doradzić odpowiednie produkty do codziennej pielęgnacji.
Wystarczy kilka minut dziennie i jedna wizyta co kilka miesięcy, by zadbać o zdrowie, pewność siebie i spokój ducha. To naprawdę dobra inwestycja.
Dieta wspierająca zdrowie szkliwa
Odpowiednia dieta ma kluczowe znaczenie dla zdrowia zębów. Produkty bogate w wapń, fosfor i witaminę D wspierają mineralizację szkliwa i chronią je przed uszkodzeniami. Warto włączyć do codziennego jadłospisu:
- Produkty mleczne – jogurty, sery, mleko.
- Tłuste ryby – np. łosoś, makrela.
- Jaja – źródło witaminy D i białka.
- Orzechy – bogate w minerały.
- Zielone warzywa liściaste – np. jarmuż, szpinak.
Unikaj nadmiaru cukrów i kwasów, które osłabiają szkliwo. Słodkie napoje, kwaśne owoce i przekąski pełne cukru warto ograniczyć. Jeśli już po nie sięgasz – przepłucz usta wodą, by zneutralizować działanie kwasów.
Zdrowa dieta to nie tylko mocne zęby, ale też lepsze samopoczucie i odporność. Warto zacząć od małych zmian w kuchni – efekty mogą Cię zaskoczyć.
Leczenie bruksizmu i eliminacja nawyków szkodliwych dla zębów
Bruksizm to nieświadome zgrzytanie i zaciskanie zębów, najczęściej występujące nocą. Choć łatwo je przeoczyć, skutki mogą być poważne: pęknięcia szkliwa, ukruszenia, bóle głowy i napięcia mięśni szczęki.
Jak sobie z tym poradzić?
- Wizyta u dentysty – specjalista oceni sytuację i zaproponuje odpowiednie leczenie.
- Szyny relaksacyjne – noszone podczas snu, chronią zęby przed ścieraniem.
- Eliminacja szkodliwych nawyków, takich jak:
- obgryzanie paznokci,
- żucie długopisów,
- otwieranie butelek zębami.
To drobne przyzwyczajenia, które mogą wyrządzić poważne szkody. Zadbaj o swoje zęby, zanim będą wymagały kosztownej odbudowy. Twój uśmiech z pewnością Ci się odwdzięczy.
FAQ – ukruszony ząb
Czy ukruszony ząb trzeba leczyć od razu?
Tak. Odsłonięta zębina łatwo się zakaża i może doprowadzić do bólu lub leczenia kanałowego. Domowe sposoby są tylko tymczasowe – umów wizytę jak najszybciej.
Co zrobić tuż po ukruszeniu zęba?
Przepłucz usta wodą lub roztworem soli, unikaj gryzienia twardych pokarmów, zabezpiecz ostrą krawędź woskiem ortodontycznym lub fleczerem, przyłóż chłodny okład na policzek i skontaktuj się z dentystą.
Jak dentysta naprawia ukruszony ząb?
W zależności od rozległości: odbudowa kompozytowa, licówka lub korona, a przy głębokim uszkodzeniu – leczenie kanałowe. Decyzję poprzedza badanie kliniczne i RTG.
Ile kosztuje naprawa ukruszonego zęba?
Orientacyjnie: wypełnienie kompozytowe 100–300 zł, licówka 800–2000 zł/ząb, korona 500–3000 zł, leczenie kanałowe 300–1500 zł (zależnie od zęba i liczby kanałów). Dokładną wycenę podajemy po badaniu.
Czy ukruszoną jedynkę da się naprawić tak, by nie było widać?
Tak. Estetyczna odbudowa kompozytowa, licówka lub korona pozwalają idealnie dopasować kształt i kolor, by efekt był niewidoczny.
Ukruszony ząb u dziecka – co robić?
Umów kontrolę. Niewielkie uszkodzenia czasem obserwujemy, częściej odbudowujemy biokompatybilnym materiałem (np. szkło-jonomerem). Ważne są regularne kontrole.
Czy NFZ refunduje naprawę ukruszonego zęba?
W ograniczonym zakresie: podstawowe wypełnienia (zależnie od zęba i wskazań). Licówki i korony estetyczne nie są refundowane. Zakres świadczeń zależy od placówki.
Czy ukruszony ząb zawsze boli?
Nie zawsze. Brak bólu nie wyklucza uszkodzenia głębszych struktur. Jeśli czujesz ostre krawędzie, nadwrażliwość lub zmienił się kształt zęba – zgłoś się na kontrolę.
Uwaga: Wpis ma charakter informacyjny i nie zastępuje porady lekarza stomatologa.

