RTG CBCT Łódź — diagnostyka obrazowa w gabinecie
Usługi diagnostyczne
- RTG punktowe (wewnątrzustne) — kontrola wierzchołków, wypełnień, endo.
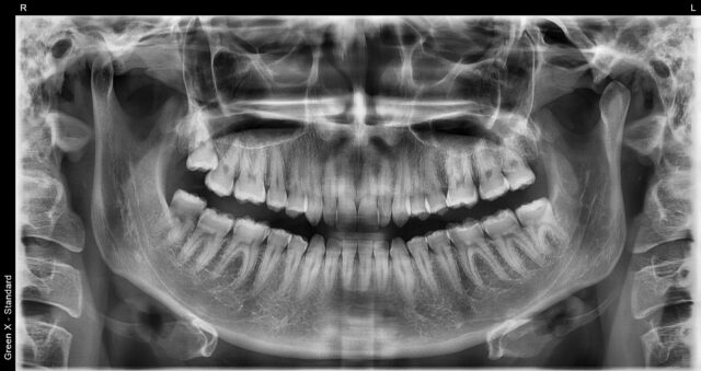
- Pantomogram (OPG) — przegląd całej szczęki i żuchwy.
- Tomografia CBCT 3D — implantologia, endodoncja trudna, chirurgia, resorpcje.
Kiedy które badanie jest potrzebne?
Ból zęba / podejrzenie zmian okołowierzchołkowych: zwykle zaczynamy od RTG punktowego; w złożonej anatomii lub re-endo — CBCT 3D.
Przegląd, ortodoncja, kwalifikacja do leczenia: pantomogram (OPG).
Implanty / planowanie chirurgiczne: CBCT 3D z pomiarami kości.
Badania obrazowe na miejscu — RTG, OPG i CBCT 3D

RTG punktowe pozwala ocenić wierzchołki korzeni i jakość wypełnień. Pantomogram daje szeroki obraz obu łuków. CBCT 3D umożliwia dokładną analizę kanałów, resorpcji, ubytków kości i planowanie implantów. Wynik i omówienie dostajesz na miejscu.
Poradniki (RTG/CBCT)
RTG — strony lokalne (Łódź)
Mini cennik — RTG/CBCT
zobacz też wpis Pantomogram czy CBCT — co wybrać?
FAQ — najczęstsze pytania
Czy potrzebuję skierowania?
Czy to bezpieczne?
Kiedy dostanę wynik?
Umów badanie RTG/CBCT
Zadzwoń: 692 682 670 lub umów online. Zwykle proponujemy szybkie terminy.
Dojazd – jak nas znaleźć?
Pro EndoDentica, ul. Rąbieńska 129, 94-244 Łódź.
Jesteśmy tuż przy przystanku linii miejskiej nr 6, przy świeżo przebudowanym
skrzyżowaniu ul. Szczecińskiej i Rąbieńskiej, bardzo blisko zjazdu z S14 (Łódź-Teofilów).
Na miejscu czeka bezpłatny parking dla pacjentów.

