Na czym polega bonding zębów? Przebieg, efekty i trwałość zabiegu
Bonding zębów to nieinwazyjny i skuteczny zabieg stomatologiczny, który w ostatnich latach zyskał dużą popularność. Nic dziwnego – pozwala szybko poprawić estetykę uśmiechu bez bólu, bez wiercenia i bez długotrwałego leczenia.
Na czym polega? Dentysta nakłada na powierzchnię zęba specjalną żywicę kompozytową, którą następnie precyzyjnie modeluje, dopasowując jej kształt i kolor do naturalnego uzębienia pacjenta. Efekt? Subtelna, ale zauważalna poprawa wyglądu zębów.
Bonding pozwala skorygować m.in.:
- Niewielkie ukruszenia szkliwa – przywraca gładką powierzchnię zęba i naturalny kształt.
- Przebarwienia, które nie reagują na tradycyjne wybielanie – żywica maskuje nieestetyczne plamy.
- Szpary między zębami (diastemy) – wypełnienie przestrzeni poprawia proporcje uśmiechu.
Największą zaletą bondingu jest szybkość – cały zabieg zazwyczaj odbywa się podczas jednej wizyty. To idealne rozwiązanie dla osób, które chcą natychmiastowego efektu, bez konieczności przechodzenia przez długie leczenie stomatologiczne.
Trwałość bondingu to kolejny jego atut. Efekty mogą utrzymywać się od 2 do nawet 5 lat, w zależności od codziennej pielęgnacji. Aby przedłużyć efekt zabiegu, warto:
- unikać twardych pokarmów i przekąsek,
- regularnie odwiedzać dentystę,
- dbać o higienę jamy ustnej – szczotkowanie, nitkowanie, płukanie.
Bonding nie narusza struktury zęba, co czyni go nie tylko szybkim, ale i bezpiecznym rozwiązaniem. To doskonała opcja dla osób, które chcą poprawić wygląd uśmiechu bez ingerencji w zdrowe tkanki.
Wyobraź sobie: szeroki, pewny siebie uśmiech – bez skrępowania, bez zasłaniania ust dłonią. Brzmi dobrze? Być może bonding to właśnie pierwszy krok do odzyskania pewności siebie. Czasem wystarczy drobna zmiana, by poczuć się zupełnie inaczej. Może to właśnie Twój moment?
Czym jest bonding zębów i kiedy się go stosuje
Bonding zębów to nieinwazyjna metoda poprawy estetyki uśmiechu, która pozwala osiągnąć znakomite rezultaty bez konieczności szlifowania naturalnych zębów. Zabieg ten doskonale sprawdza się w przypadku drobnych defektów, takich jak:
- pęknięcia szkliwa,
- ukruszenia,
- przebarwienia,
- diastemy – niewielkie przerwy między zębami.
To delikatny i bezpieczny zabieg, który nie narusza struktury zęba, dlatego może być stosowany u większości pacjentów. Wyjątek stanowią zęby martwe lub objęte aktywną próchnicą – w takich przypadkach należy rozważyć inne metody leczenia.

Jeśli zależy Ci na subtelnej, ale zauważalnej poprawie wyglądu zębów, bonding może być właśnie tym, czego szukasz. W ramach stomatologii estetycznej koncentruje się on na poprawie wyglądu zębów, co może znacząco wpłynąć na Twoją pewność siebie. To szybki sposób na odzyskanie pięknego uśmiechu.
Na czym polega bonding zębów
Bonding to precyzyjny i szybki proces, który składa się z kilku etapów:
- Dokładne oczyszczenie zębów – usunięcie osadów i przygotowanie powierzchni zęba to klucz do trwałości efektu.
- Wytrawienie szkliwa – delikatne zmatowienie powierzchni zwiększa przyczepność materiału kompozytowego.
- Modelowanie kompozytu – materiał dobierany jest kolorystycznie do naturalnych zębów, a następnie formowany i utwardzany specjalną lampą.
- Polerowanie – końcowy etap, który nadaje zębowi połysk i gładkość, zbliżoną do naturalnego szkliwa.
Cała procedura jest zazwyczaj bezbolesna i nie wymaga znieczulenia, chyba że pacjent ma wyjątkowo wrażliwe zęby. To szybki i komfortowy zabieg, który może diametralnie odmienić Twój uśmiech.
Wskazania do wykonania bondingu
Bonding znajduje zastosowanie w wielu sytuacjach, w których celem jest delikatna poprawa estetyki zębów. Najczęstsze wskazania obejmują:
- trwałe przebarwienia, które nie ustępują po wybielaniu,
- diastemę – przerwę między zębami,
- niewielkie uszkodzenia, takie jak pęknięcia czy ukruszenia.
W przypadku diastemy bonding pozwala estetycznie zamknąć przerwę bez konieczności noszenia aparatu ortodontycznego. Natomiast przy trwałych przebarwieniach, których nie da się usunąć tradycyjnymi metodami, kompozyt skutecznie je maskuje, przywracając zębom jednolity kolor.
Jeśli szukasz szybkiego, bezpiecznego i mało inwazyjnego sposobu na poprawę uśmiechu – bonding może być idealnym rozwiązaniem. To zabieg, który może sprawić, że znów zaczniesz uśmiechać się bez skrępowania.
Dla kogo bonding będzie odpowiedni
Bonding to doskonała opcja dla osób, które zmagają się z niewielkimi defektami estetycznymi, takimi jak:
- przebarwienia,
- drobne ukruszenia,
- niewielkie nierówności powierzchni zębów.
To również świetna alternatywa dla pacjentów z wrażliwymi zębami, którzy nie mogą poddać się bardziej inwazyjnym zabiegom. Komfort, szybkość i brak konieczności znieczulenia sprawiają, że bonding cieszy się rosnącą popularnością.
Marzysz o pięknym uśmiechu bez bólu i długiej rekonwalescencji? Bonding może być właśnie tym, czego potrzebujesz.
ZADZWOŃ i dowiedz się czy bonding jest dla ciebie odpowiedni!
Przebieg zabiegu krok po kroku
Bonding zębów to nowoczesna technika stomatologii estetycznej, realizowana według ściśle określonego schematu. Cały zabieg trwa zazwyczaj od 30 do 60 minut, w zależności od liczby zębów wymagających korekty. Każdy etap ma kluczowe znaczenie – to właśnie precyzja wykonania poszczególnych kroków decyduje o trwałości i naturalnym wyglądzie efektu końcowego. Nic dziwnego, że metoda ta cieszy się ogromną popularnością wśród osób pragnących szybkiej i efektownej poprawy estetyki uśmiechu.
Przygotowanie powierzchni zęba: wytrawianie i bond
Na początku zabiegu stomatolog przygotowuje szkliwo do aplikacji materiału kompozytowego. Proces ten obejmuje:
- Wytrawianie szkliwa – za pomocą specjalnego kwasu, który delikatnie matowi powierzchnię zęba, poprawiając przyczepność kompozytu.
- Nałożenie warstwy bond – cienkiej żywicy, która działa jak spoiwo między zębem a materiałem odbudowującym.
- Utwardzenie bond – przy pomocy światła lampy polimeryzacyjnej, co zapewnia trwałość i stabilność dalszej rekonstrukcji.
Precyzja w tym etapie jest kluczowa – to od niej zależy jakość i trwałość całego zabiegu.
Dobór koloru i modelowanie kształtu zęba
Kolejnym krokiem jest dobór odpowiedniego odcienia kompozytu, który powinien idealnie współgrać z naturalnym kolorem zębów pacjenta. To nie tylko kwestia estetyki – dobrze dobrany kolor sprawia, że efekt końcowy jest niemal niewidoczny.
Następnie lekarz przystępuje do modelowania kształtu zęba. W zależności od potrzeb może to być:
- Odbudowa ukruszonego fragmentu zęba,
- Subtelna korekta konturu,
- Wyrównanie długości zębów,
- Poprawa proporcji i symetrii uśmiechu.
Precyzyjne modelowanie wpływa zarówno na estetykę, jak i funkcjonalność zrekonstruowanego zęba.
Utwardzanie kompozytu lampą polimeryzacyjną
Po nadaniu zębowi odpowiedniego kształtu, następuje utwardzenie kompozytu za pomocą światła emitowanego przez lampę polimeryzacyjną. Światło to aktywuje cząsteczki w materiale, powodując jego szybkie stwardnienie.
Efekty tego etapu:
- Ząb staje się odporny na codzienne obciążenia mechaniczne,
- Materiał jest odporny na działanie temperatur – zarówno gorących, jak i zimnych napojów,
- Zapewniona zostaje długotrwałość i stabilność efektu estetycznego.
To kluczowy moment, który decyduje o trwałości całej rekonstrukcji.
Polerowanie kompozytu i wykończenie
Ostatnim etapem zabiegu jest polerowanie zrekonstruowanego zęba. Choć może wydawać się jedynie kosmetycznym dodatkiem, ma on również istotne znaczenie praktyczne:
- Wygładzenie powierzchni zęba utrudnia osadzanie się płytki nazębnej,
- Polerowany ząb wygląda naturalnie i estetycznie,
- Wykończenie nadaje uśmiechowi świeżości i harmonii,
- Efekt bondingu staje się niemal nie do odróżnienia od naturalnego zęba.
To właśnie perfekcyjne wykończenie decyduje o ostatecznym efekcie estetycznym całego zabiegu.
Materiały i techniki stosowane w bondingu
Współczesna stomatologia estetyczna oferuje szeroki wachlarz możliwości dla osób marzących o idealnym uśmiechu. Jedną z najczęściej wybieranych metod poprawy wyglądu zębów jest bonding. To nowoczesne rozwiązanie łączy zaawansowane kompozyty z precyzyjnymi, mało inwazyjnymi technikami, co pozwala uzyskać naturalny efekt bez konieczności szlifowania zdrowych tkanek. Dzięki temu pacjenci mogą cieszyć się komfortem i skutecznością zabiegu — bez bólu i długiej rekonwalescencji.
Żywica kompozytowa i jej właściwości
Podstawowym materiałem wykorzystywanym w bondingu jest żywica kompozytowa — elastyczna, estetyczna i bezpieczna dla organizmu. Jej główne zalety to:
- Doskonałe dopasowanie kolorystyczne do naturalnych zębów, co zapewnia subtelny i niemal niewidoczny efekt końcowy.
- Wszechstronność zastosowania — sprawdza się zarówno przy drobnych korektach, jak i większych rekonstrukcjach.
- Bezpieczeństwo i biokompatybilność — materiał dobrze tolerowany przez organizm.
- Szybkość i efektywność — ułamany ząb można odbudować w ciągu jednej wizyty.
To właśnie dzięki tym właściwościom żywica kompozytowa cieszy się tak dużym uznaniem wśród pacjentów i stomatologów.
Kompozyt jako materiał odbudowujący
Kompozyt to połączenie żywicy z drobnymi wypełniaczami, które razem tworzą materiał idealny do estetycznej i funkcjonalnej odbudowy zębów. Jego struktura umożliwia precyzyjne modelowanie, co ma kluczowe znaczenie w przypadku:
- uzupełniania ubytków,
- korekty kształtu zębów,
- poprawy symetrii uśmiechu,
- rekonstrukcji uszkodzonych fragmentów.
Wypełnienia z kompozytu są trwałe, odporne na ścieranie i wyglądają bardzo naturalnie. Dla osób, które chcą poprawić estetykę uśmiechu bez ingerencji w zdrowe tkanki, to rozwiązanie niemal idealne.
masz pytania? ZADZWOŃ i umów konsultację! terminy w 7 dni!
Techniki bondingu: metoda bezpośrednia i flow injection
W praktyce stomatologicznej stosuje się dwie główne techniki bondingu:
| Technika | Opis | Zalety |
|---|---|---|
| Metoda bezpośrednia | Ręczne nakładanie i modelowanie kompozytu bezpośrednio na zębie. |
|
| Flow injection | Zaawansowana technika z użyciem cyfrowego planowania i specjalnej szyny aplikacyjnej. |
|
Wybór odpowiedniej techniki zależy od oczekiwań pacjenta, zakresu planowanych zmian oraz możliwości technicznych gabinetu. Niezależnie jednak od wybranej metody, bonding potrafi zdziałać cuda — i to bez bólu.
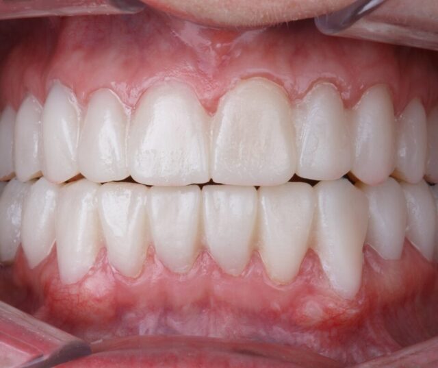
Efekty estetyczne bondingu
Bonding zębów to szybka i skuteczna metoda poprawy wyglądu uśmiechu. Już po jednej wizycie u stomatologa można zauważyć znaczącą różnicę — zęby stają się jaśniejsze, a ich kształt bardziej symetryczny i estetyczny. To idealne rozwiązanie dla osób, które oczekują natychmiastowego efektu bez konieczności długotrwałego leczenia.
Nowoczesne materiały kompozytowe wykorzystywane w bondingu nie tylko zapewniają naturalny i estetyczny wygląd, ale również gwarantują trwałość efektu. Rezultat? Uśmiech, który przyciąga spojrzenia i dodaje pewności siebie.
Poprawa estetyki uśmiechu i korekta kształtu zębów
Bonding doskonale sprawdza się w przypadku drobnych niedoskonałości. Pozwala na:
- wyrównanie konturów zębów,
- zamaskowanie niewielkich ubytków,
- wygładzenie powierzchni szkliwa.
To jak cyfrowy retusz, ale w rzeczywistości — stomatolog precyzyjnie modeluje ząb, nadając mu idealny kształt i odpowiedni odcień. Efekt? Spójny, harmonijny uśmiech, który odmładza twarz i dodaje jej wyrazistości. Dla wielu pacjentów to właśnie ta subtelna, ale zauważalna zmiana staje się początkiem większej pewności siebie.
licówki czy wybielanie- co wybrać?
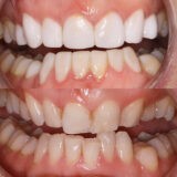
Efekty bondingu przed i po zabiegu
Różnica widoczna jest natychmiast — i potrafi zaskoczyć. Przed zabiegiem pacjenci często zmagają się z:
- przebarwieniami,
- nierównościami,
- drobniejszymi uszkodzeniami szkliwa.
Po nałożeniu kompozytu zęby zyskują jednolity kolor, gładką strukturę i estetyczny kształt. Przykład? Osoba z widoczną przerwą między jedynkami (diastemą) może po zabiegu cieszyć się równym, pełnym uśmiechem — bez konieczności noszenia aparatu ortodontycznego. To zmiana, którą widać od razu i która często wywołuje efekt „wow”.
Jakie problemy estetyczne rozwiązuje bonding (przebarwienia, diastema, ukruszenia)
Bonding to uniwersalne narzędzie w stomatologii estetycznej, które skutecznie rozwiązuje wiele problemów, takich jak:
- trwałe przebarwienia, które nie ustępują po wybielaniu,
- diastema — przerwa między zębami,
- ukruszenia i drobne uszkodzenia szkliwa,
- niewielkie deformacje kształtu zębów.
Co istotne, zabieg nie wymaga szlifowania zębów ani ingerencji w ich naturalną strukturę — w przeciwieństwie do koron czy licówek. Dzięki temu bonding jest efektywny, bezpieczny i mało inwazyjny. To doskonała opcja dla osób, które chcą szybko, bezboleśnie i przystępnie cenowo poprawić wygląd swojego uśmiechu. Bo piękny uśmiech naprawdę nie musi kosztować fortuny.
Trwałość i pielęgnacja po zabiegu
Rozważasz bonding zębów? To naturalne, że chcesz wiedzieć, jak długo utrzyma się efekt. I bardzo dobrze! Trwałość to jeden z głównych powodów, dla których pacjenci wybierają tę metodę. Dobrze wykonany bonding może zachować estetyczny wygląd nawet przez 2 do 5 lat. To naprawdę dużo, zwłaszcza że mówimy o technice mniej inwazyjnej niż licówki porcelanowe.
Jednak – i to bardzo ważne – efekt nie utrzyma się sam. Wymaga codziennej troski. To, co jesz, jak szczotkujesz zęby, a nawet czy masz nawyk obgryzania paznokci – wszystko to wpływa na trwałość kompozytu. Piękny uśmiech to nie tylko zasługa dentysty, ale też Twoich codziennych decyzji.
Jak długo utrzymuje się efekt bondingu

Efekt bondingu pojawia się szybko – to jego ogromna zaleta. Ale nie łudź się, że to rozwiązanie na zawsze. Zazwyczaj możesz liczyć na 3 do 5 lat estetycznego uśmiechu. Choć wiele zależy od Twojego stylu życia.
Na trwałość bondingu negatywnie wpływają m.in.:
- spożywanie kawy, czerwonego wina i herbaty,
- palenie papierosów,
- nawyki takie jak obgryzanie paznokci czy zgrzytanie zębami.
Z drugiej strony, jeśli dbasz o zęby, unikasz zgrzytania i regularnie odwiedzasz gabinet stomatologiczny – efekt może utrzymać się znacznie dłużej. Wizyty kontrolne to nie tylko formalność. To okazja, by wcześnie wykryć drobne uszkodzenia i je naprawić, zanim przerodzą się w większy problem. A to już oszczędność czasu i pieniędzy.
Wpływ higieny jamy ustnej na trwałość
Codzienna higiena to absolutna podstawa. Mycie zębów przynajmniej dwa razy dziennie, nitkowanie i płukanie ust odpowiednimi preparatami to minimum, jeśli chcesz, by bonding wyglądał dobrze przez długi czas.
Choć kompozyt jest trwały, nie dorównuje odpornością naturalnemu szkliwu. Zaniedbanie higieny może prowadzić do próchnicy, która uszkodzi nie tylko ząb, ale i sam bonding. Dlatego warto wyrobić sobie dobrą rutynę – to inwestycja w zdrowy, estetyczny uśmiech, który zostanie z Tobą na lata.
Zalecenia pielęgnacyjne po zabiegu
Po zabiegu warto wprowadzić kilka prostych nawyków, które naprawdę robią różnicę. Co możesz zrobić, by efekt bondingu cieszył Cię jak najdłużej?
- Unikaj nadmiernego spożycia produktów przebarwiających kompozyt, takich jak kawa, herbata, czerwone wino czy buraki.
- Po spożyciu tych produktów przepłucz usta wodą, aby zminimalizować ryzyko przebarwień.
- Myj zęby miękką szczoteczką co najmniej dwa razy dziennie.
- Codziennie używaj nici dentystycznej, by usunąć resztki jedzenia i płytkę nazębną z trudno dostępnych miejsc.
Brzmi banalnie? Może i tak. Ale działa! Co więcej – bonding to zabieg bezbolesny i nieinwazyjny, więc nie musisz martwić się o rekonwalescencję. To świetna opcja, jeśli chcesz szybko poprawić wygląd swojego uśmiechu bez większego zamieszania i bez bólu.
Przeciwwskazania i ograniczenia
Bonding zębów to szybka, skuteczna i zazwyczaj bezbolesna metoda poprawy estetyki uśmiechu. Brzmi świetnie, prawda? Ale — i tu ważne „ale” — nie każdy może z niej skorzystać. Istnieją konkretne przeciwwskazania do bondingu, które należy dokładnie przeanalizować przed podjęciem decyzji o zabiegu.
Jeśli masz aktywną próchnicę, choroby dziąseł lub cierpisz na bruksizm (zgrzytanie zębami, często nieświadome, zwłaszcza nocą), bonding może nie być dla Ciebie odpowiedni. W takich przypadkach nie tylko efekt może być krótkotrwały, ale również istnieje ryzyko pogorszenia stanu zdrowia jamy ustnej.
Dlaczego to takie istotne?
- Próchnica osłabia strukturę zęba, co uniemożliwia trwałe połączenie z materiałem kompozytowym.
- Stany zapalne dziąseł mogą prowadzić do ich cofania się i rozchwiania zębów.
- Bruksizm generuje ogromne siły nacisku, które mogą błyskawicznie uszkodzić lub zetrzeć kompozyt.
Zadbaj o zdrowie swoich zębów i dziąseł zanim usiądziesz na fotelu dentystycznym. Najlepszym rozwiązaniem będzie konsultacja ze stomatologiem, który oceni, czy bonding to rzeczywiście najlepsza opcja w Twoim przypadku.
Kiedy nie można wykonać bondingu (próchnica, bruksizm, choroby dziąseł)
Nie każda sytuacja pozwala na wykonanie bondingu. I nie chodzi tu o subiektywną opinię dentysty, ale o realne ograniczenia i ryzyko. Jeśli zmagasz się z:
- aktywną próchnicą,
- chorobami przyzębia, takimi jak zapalenie dziąseł,
- bruksizmem, czyli zgrzytaniem zębami,
to niestety — bonding może nie tylko nie przynieść oczekiwanych efektów, ale wręcz pogorszyć stan zdrowia jamy ustnej.
Dlaczego?
- Próchnica niszczy ząb od środka, przez co kompozyt nie ma się do czego trwale przyczepić.
- Choroby dziąseł mogą sprawić, że ząb stanie się niestabilny, co wpływa na trwałość efektu estetycznego.
- Bruksizm to wróg numer jeden — zgrzytanie zębami potrafi w ekspresowym tempie zetrzeć lub uszkodzić nową warstwę materiału.
Dlatego tak ważna jest wcześniejsza konsultacja stomatologiczna. Specjalista oceni stan Twojej jamy ustnej i pomoże dobrać najlepsze rozwiązanie — może to będzie bonding, a może zupełnie inna metoda poprawy uśmiechu.
Wady i ograniczenia bondingu

Choć bonding ma wiele zalet, nie jest pozbawiony wad. Jednym z głównych ograniczeń bondingu jest jego ograniczona trwałość. W porównaniu do licówek porcelanowych, kompozyt:
- jest mniej odporny na uszkodzenia mechaniczne,
- łatwiej się przebarwia,
- może się ukruszyć,
- z czasem ulega starciu.
Co to oznacza w praktyce? Po kilku latach możesz potrzebować poprawek, a czasem nawet całkowitej wymiany warstwy kompozytowej. Ryzyko wzrasta, jeśli:
- często pijesz kawę, herbatę lub czerwone wino,
- masz nawyk obgryzania paznokci albo żucia długopisów,
- cierpisz na bruksizm.
Bonding nie będzie też dobrym wyborem, jeśli marzysz o dużej metamorfozie uśmiechu — np. zmianie kształtu, koloru czy ustawienia zębów. W takich przypadkach lepszym rozwiązaniem będą licówki porcelanowe, które są trwalsze i dają bardziej spektakularny efekt.
Podsumowując: bonding to ciekawa opcja, ale nie dla każdego i nie w każdej sytuacji. Dlatego decyzję warto podjąć wspólnie z doświadczonym dentystą, który pomoże dobrać metodę najlepiej dopasowaną do Twoich potrzeb i stanu zdrowia jamy ustnej.
Koszt i dostępność zabiegu
Bonding zębów zyskuje coraz większą popularność – i trudno się temu dziwić. To szybka, mało inwazyjna metoda poprawy uśmiechu, która nie obciąża nadmiernie domowego budżetu. W porównaniu z innymi zabiegami stomatologii estetycznej wypada wyjątkowo korzystnie. Dla wielu pacjentów to właśnie atrakcyjna cena decyduje o wyborze tej techniki.
W Polsce koszt bondingu jednego zęba waha się od 200 do nawet 2000 zł. Skąd tak duża rozpiętość cenowa? Wpływ na to mają m.in.:
- liczba zębów wymagających korekty,
- stopień uszkodzenia lub defektu zęba,
- lokalizacja gabinetu – w dużych miastach ceny są zazwyczaj wyższe.
Warto poświęcić chwilę na porównanie ofert różnych klinik. Czasem wystarczy krótki research, by znaleźć doświadczonego specjalistę w korzystniejszej cenie.
Od czego zależy cena bondingu
Na ostateczny koszt bondingu wpływa kilka kluczowych czynników. Najważniejsze z nich to:
- Liczba zębów objętych zabiegiem – im więcej, tym wyższy koszt całkowity.
- Stopień skomplikowania – proste korekty, jak zamknięcie diastemy (przerwy między zębami), są tańsze niż pełna rekonstrukcja kształtu zęba.
- Lokalizacja gabinetu – w dużych miastach ceny są wyższe ze względu na koszty prowadzenia działalności.
Coraz więcej pacjentów decyduje się na leczenie w mniejszych miejscowościach, gdzie można liczyć na porównywalną jakość usług w niższej cenie.
Przykładowe widełki cenowe za ząb
Średni koszt bondingu jednego zęba mieści się zazwyczaj w przedziale 200–500 zł. Ostateczna cena zależy od:
- doświadczenia lekarza,
- jakości użytych materiałów,
- renomy gabinetu.
Im wyższy poziom usług, tym wyższa cena – ale też większa pewność co do trwałości i estetyki efektu.
Warto pamiętać, że są to kwoty orientacyjne. Każdy przypadek wymaga indywidualnej wyceny. Dobrą wiadomością jest to, że wiele gabinetów oferuje zniżki przy większej liczbie zębów objętych zabiegiem. Jeśli planujesz poprawić np. cztery zęby, możesz liczyć na atrakcyjny rabat, który znacząco obniży całkowity koszt.
Nie wahaj się pytać o promocje i porównuj oferty – to się naprawdę opłaca.
Czy bonding to opłacalna inwestycja
Zastanawiasz się, czy bonding to rozsądny wybór? Odpowiedź brzmi: zdecydowanie tak. Zwłaszcza w porównaniu z droższymi rozwiązaniami, takimi jak licówki porcelanowe. Bonding pozwala szybko i skutecznie poprawić wygląd zębów, nie wydając przy tym fortuny.
Trwałość efektów zależy od kilku czynników:
- codziennej higieny jamy ustnej,
- stylu życia – unikanie twardych pokarmów, niepalenie papierosów,
- regularnych wizyt kontrolnych u dentysty.
Przy odpowiedniej pielęgnacji efekt może utrzymać się przez wiele lat. W takim ujęciu bonding to nie tylko estetyczna poprawa, ale też inwestycja w pewność siebie.
Może to właśnie będzie Twój pierwszy krok do uśmiechu, o którym zawsze marzyłeś?
Licówki kompozytowe i porcelanowe – porównanie
W dzisiejszych czasach wygląd zewnętrzny odgrywa coraz większą rolę, a uśmiech stał się symbolem zdrowia, atrakcyjności i pewności siebie. Jeśli marzysz o szybkiej metamorfozie zębów, licówki mogą być idealnym rozwiązaniem. To cienkie nakładki, które w krótkim czasie potrafią całkowicie odmienić estetykę uśmiechu. Najczęściej wybierane są dwa rodzaje: licówki kompozytowe i licówki porcelanowe. Każdy z tych wariantów ma swoje zalety i ograniczenia, dlatego przed podjęciem decyzji warto dokładnie je porównać.
| Cecha | Licówki kompozytowe | Licówki porcelanowe |
|---|---|---|
| Wygląd | Naturalny, ale mniej zbliżony do szkliwa | Bardzo naturalny, niemal identyczny z prawdziwym szkliwem |
| Trwałość | Niższa – podatne na przebarwienia i uszkodzenia | Wysoka – odporne na ścieranie i przebarwienia |
| Inwazyjność | Mało inwazyjne – często bez szlifowania | Wymagają zeszlifowania zęba – zabieg nieodwracalny |
| Koszt | Niższy | Wyższy |
| Czas wykonania | Krótki – często jedna wizyta | Dłuższy – wymaga kilku wizyt |
Wybór między licówkami kompozytowymi a porcelanowymi zależy od Twoich oczekiwań, budżetu oraz tego, jak długo chcesz cieszyć się efektem. Czasem warto postawić na kompromis, a czasem – na jakość bez kompromisów.
Bonding jako alternatywa dla licówek
Bonding zębów to nowoczesna i coraz popularniejsza metoda poprawy estetyki uśmiechu. Może być świetną alternatywą dla licówek, szczególnie jeśli zależy Ci na szybkim, bezpiecznym i mało inwazyjnym rozwiązaniu.
Na czym polega bonding? Na powierzchnię zębów nakłada się specjalną żywicę kompozytową, która pozwala:
- skorygować kształt zębów,
- zmienić ich kolor,
- zamaskować drobne uszkodzenia,
- uzupełnić niewielkie ubytki.
Największą zaletą bondingu jest brak konieczności szlifowania zębów, co czyni ten zabieg całkowicie odwracalnym. W porównaniu do licówek porcelanowych bonding jest mniej trwały – z czasem może się przebarwiać lub ulec drobnym uszkodzeniom. Jednak jego ogromnym atutem jest szybkość wykonania – często wystarczy jedna wizyta, by cieszyć się nowym uśmiechem.
Jeśli szukasz rozwiązania, które jest przystępne cenowo, szybkie i bezpieczne, bonding może być idealnym wyborem. To także świetna opcja, jeśli chcesz najpierw sprawdzić, jak będziesz wyglądać z poprawionym uśmiechem, zanim zdecydujesz się na bardziej trwałe rozwiązania.
Kiedy warto wybrać bonding zamiast innych metod
Bonding sprawdza się najlepiej w przypadku niewielkich defektów estetycznych, takich jak:
- drobne przebarwienia,
- niewielkie ukruszenia,
- nierówności powierzchni zębów,
- diastema – niewielka przerwa między zębami.
W takich sytuacjach nie ma potrzeby sięgania po bardziej inwazyjne metody, jak licówki porcelanowe. Bonding to także doskonałe rozwiązanie dla osób, które cenią sobie:
- wygodę i szybkość zabiegu – zazwyczaj wystarczy jedna wizyta,
- brak konieczności znieczulenia,
- brak rekonwalescencji,
- możliwość cofnięcia efektu – zabieg jest odwracalny.
Jeśli marzysz o pięknym uśmiechu bez większej ingerencji, bonding może być właśnie tym, czego szukasz. Porozmawiaj ze specjalistą, który pomoże Ci dobrać najlepsze rozwiązanie – dopasowane do Twoich potrzeb, stylu życia i oczekiwań. Bo piękny uśmiech to nie luksus. To świadomy wybór.
Licówki czy wybielanie- co wybrać?
Najczęściej zadawane pytania
Bonding zębów to jeden z najpopularniejszych zabiegów estetycznych w stomatologii – szybki, skuteczny i potrafiący diametralnie odmienić wygląd uśmiechu. Nic dziwnego, że pacjenci mają wiele pytań. Najczęściej interesuje ich:
- Jak długo utrzymuje się efekt?
- Ile kosztuje zabieg?
- Czy kwalifikują się do jego wykonania?
To bardzo dobrze – im więcej wiesz, tym łatwiej podjąć świadomą decyzję. Dlatego przygotowaliśmy zestaw najczęściej zadawanych pytań wraz z odpowiedziami, które rozwieją Twoje wątpliwości krok po kroku.
Czy bonding wymaga znieczulenia?
To jedno z najczęściej zadawanych pytań w gabinecie stomatologicznym. Odpowiedź może Cię zaskoczyć – w większości przypadków znieczulenie nie jest potrzebne. Sam zabieg jest łagodny i zazwyczaj całkowicie bezbolesny.
Jednak w przypadku osób z wyjątkowo wrażliwymi zębami, dentysta może zaproponować delikatne znieczulenie, aby zapewnić pełen komfort. Wszystko zależy od Twojej indywidualnej sytuacji. Nie ma powodów do obaw – zabieg można w pełni dostosować do Twoich potrzeb.
Czy bonding wybiela zęby?
Bonding nie jest klasycznym zabiegiem wybielania, ale efekt wizualny często przypomina wybielanie. Dzięki zastosowaniu kompozytowej żywicy, stomatolog może:
- zamaskować przebarwienia,
- wygładzić powierzchnię zębów,
- ukryć drobne niedoskonałości,
- poprawić ogólną estetykę uśmiechu.
Efekt? Zęby wyglądają na jaśniejsze, bardziej równe i estetyczne. To doskonała alternatywa dla osób, które nie mogą lub nie chcą korzystać z tradycyjnych metod wybielania. Co więcej – efekt jest widoczny natychmiast.
Czy bonding można wykonać podczas jednej wizyty?
Tak – i to jedna z największych zalet bondingu! To błyskawiczna metamorfoza, którą można przeprowadzić w trakcie jednej wizyty, bez konieczności umawiania się na kolejne spotkania.
W ciągu jednej sesji dentysta może:
- poprawić kształt zębów,
- zmienić ich kolor,
- skorygować drobne uszkodzenia i nierówności.
Jeśli zależy Ci na czasie i chcesz szybko zobaczyć efekty – bonding to idealne rozwiązanie. Prosto, szybko i skutecznie.
Czy warto zakładać licówki?
Skąd się bierze nieświeży oddech?
Ile kosztuje leczenie kanałowe w Łodzi


